Deprecated: Function WP_Dependencies->add_data() was called with an argument that is deprecated since version 6.9.0! IE conditional comments are ignored by all supported browsers. in /home/www/decotechs.xyz/project1/wp-includes/functions.php on line 6131

dentocorrect

Monday - Saturday
10:00 AM – 08:00 PM

UAN: +92 314 2484555
info@dentocorrect.pk

Lahore, Karachi
Islamabad, Rawalpindi

Transformative Results

Patient: 22 Years, Female Treatment: ClearPath Aligners Chief Concerns: Crowding, Crooked Teeth

Patient: 19 Years, Male 
Treatment: ClearPath Aligners
Chief Concerns: Proclined upper anteriors, Spacing

Patient: 22 Years, Female 
Treatment: ClearPath Aligners
Chief Concerns: Anteriors openbite, Spacing in upper teeth

Patient: 23 Years, Female 
Treatment: ClearPath Aligners
Chief Concerns: Proclined anterior teeth, Crowding

Patient: 17 Years, Female 
Treatment: ClearPath Aligners
Chief Concerns: Anterior crossbite, Crowding, Malalignment

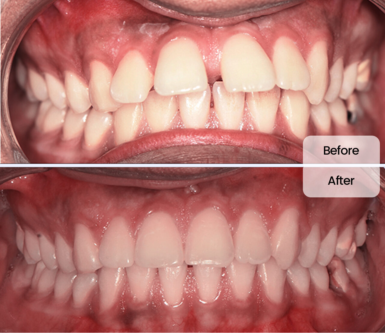
Patient : 36 years, Male
Treatment: Deep Scaling & Curettage
Chief Concerns: Bleeding Gums & Inflammation

Patient: 32 Years, Male 
Treatment: ClearPath Aligners
Chief Concerns: Crowding, Relapse case, Unpleasant smile

Patient : 26 years, Male
Treatment: Restorations/ Tooth Colored Fillings
Chief Concerns: Chipped Teeth & Unpleasant Smile
Scroll to Top